
由於國內食用油廠商自香港、越南進口的油品都出了問題,衛福部食藥署代理署長姜郁美28日表示,未來食用油進口將比照美國牛肉及中國大閘蟹管理模式,由輸出國提供合法廠商名單。最快明年1月起,食藥署將陸續派員前往當...
高血壓、高血脂及糖尿病等「3高」患者,罹患中風機率較常人高出2至3倍。衛福部國健署副署長游麗惠指出,高血壓患者5年內中風機率為常人2.8倍,糖尿病及高血脂則分別為2.9及2.4倍,且中風後較易導致失能。雙...
長在口腔、嘴唇的皰疹,乍看之下與阿茲海默症毫無關聯,但感染「單純皰疹病毒」卻可能增加失智風險。 瑞典于默奧大學團隊發表於《阿茲海默症暨失智症》期刊的研究指出,感染易造成口腔、嘴唇皰疹的第1型單純皰疹...
全台每18分鐘,就有1位兒童疑因受虐被通報。有鑑於受虐兒少通報案件逐年增加,衛福部心理及口腔健康司27日宣布,在台大等6家醫院開辦兒少保護醫療網。台大小兒胸腔加護醫學科主任呂立指出,過去多由社工師帶受虐兒...
藉由開發手語、瑜珈、繪畫、舞蹈等興趣,乳癌患者也能勇敢對抗病魔。乳癌患者林姬瑩曾罹患恐慌症,常莫名顫抖、哭泣,甚至想尋短。在參加乳癌病友協會開辦的「日本舞踊」課程後,透過與其他病友分享經驗、彼此鼓勵,才逐...
運動減重效果雖不及藥物,但減重後欲避免復胖,一定要保持運動習慣。肥胖研究學會副理事長蕭敦仁指出,藥物在減肥初期較具效果,但半年至1年後就需停藥,若欲長期保持減重成果,仍得從控制飲食等生活習慣著手。減肥醫師...
全台6家公立醫院,全面備戰伊波拉。行政院長江宜樺23日前往衛福部疾管署,聽取北市聯醫和平醫院、桃園新屋分院,及部立台中、台南、屏東、花蓮等6家伊波拉疫情應變醫院,報告院內整備進度。疾管署長郭旭崧表示,會在...
最新版伊波拉防護裝備亮相。衛福部疾管署23日向行政院長江宜樺展示美國疾病管制中心最新公布的醫護人員裝備,包括面罩、長筒鞋套及防水長袖圍裙全面升級。疾管署指出,首波擬購入5千套配備,優先分配給6家伊波拉感染...
衛福部疾管署已取得20人份美、日聯合研發的抗伊波拉病毒實驗藥物。疾管署長郭旭崧23日向行政院長江宜樺報告國內伊波拉防疫整備進度時透露,已透過藥廠取得美、日實驗藥物Favipiravir以備不時之需。江宜樺...
民眾若發生血尿、腰部腫塊、體重減輕等情況,很可能患有腎臟細胞癌。臺北市立聯合醫院泌尿科醫師賴昱維表示,我國多數腎腫瘤患者,都是在影像檢查學時意外發現的,且腎細胞癌早期無痛感,許多病例確診時都已是癌症末期。...
「原來量血壓前除了至少休息5分鐘外,還要避免菸酒、咖啡,測量時需雙腳貼地、手臂與心臟同高,該注意的細節真不少。」演員「蔓蔓」翁滋蔓23日出席衛福部食藥署活動,教導民眾正確使用血壓計、血糖機、耳溫槍等居家醫...
婚姻不幸福不僅會提高罹患憂鬱症風險,更可能導致肥胖。 美國俄亥俄州立大學團隊在「Science Writers」年會上發表研究指出,來自伴侶失和的情緒壓力,會降低身體代謝脂肪的能力而導致肥胖。 ...
女性心肌梗塞患者,需特別注意調適情緒,以免演變為憂鬱或焦慮症。 立陶宛維爾紐斯大學團隊在「急性心血管疾病照護協會」年會上發表研究指出,女性在心肌梗塞發作後,產生焦慮及憂鬱情緒比例遠高於男性,更常導致...
還記得為「漸凍人」募款而風靡全球的「冰桶挑戰」嗎?中研院分子生物所特聘研究員沈哲鯤與成大、北醫團隊合作,透過多種「動物實驗模型」證實,蛋白質「TDP-43」功能及代謝異常,會造成「漸凍人症」及好發於中年人...
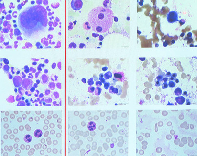
切莫以為頭暈、貧血、容易累是中、老年正常現象,可要當心是否罹患極易演變為白血病的「骨髓化生不良症候群」(MDS)。血液病學會理事長林東燦20日出席「MDS世界關懷日」活動時指出,中年後若出現原因不明的貧血...
「空腹血糖、飯後血糖及糖化血色素,是糖尿病友最需注意的『控糖金3角』!」藝人「保庇天后」王彩樺20日擔任糖尿病關懷大使,呼籲患者平時應測量飯後血糖值。中榮副院長許惠恒表示,部分患者的空腹血糖穩定,糖化血色...
名叫林樂樂、許樂樂、李樂樂、游樂樂、屈樂樂的5位小朋友,20日與衛福部心口司長陳快樂齊聚一堂,告訴大家「做人要快樂」!陳快樂在出席「幸福能量大募集」活動時表示,照顧孩子雖辛苦,但成就感往往也是全家人歡樂泉...
腸道內的細菌也有生理時鐘,且受人類等「宿主」作息影響,一旦被打亂,會提高宿主肥胖的風險。 過去研究顯示,日夜作息顛倒或常受時差所苦者,會造成生理時鐘紊亂,影響內分泌系統運作,提高肥胖、糖尿病、心血管...
台灣每年4至6月及9月初「開學季」,都會有腸病毒流行,研究顯示,亞洲、非洲及南美地區曾受腸病毒感染者,罹患第1型糖尿病風險較高。 腸病毒包括3型小兒麻痺病毒、23種克沙奇A型、6種克沙奇B型、30型...
320位糖尿病患者一起施打胰島素,打破金氏世界紀錄!資深「糖友」、前總統李登輝指出,自己罹病30年來,每天勤量血糖、按時施打胰島素,「與糖尿病共處沒有那麼困難。」同樣身為病友的林口長庚新陳代謝科醫師林嘉鴻...