
【台灣醒報記者李昀澔綜合報導】俗稱「玻璃娃娃」的成骨不全症有新突破。美國貝勒醫學院團隊發表於《自然:醫學》的研究指出,一種稱作「乙型轉化生長因子」的蛋白質突變,是導致成骨不全症的主因之一,未來可望透過抑制該蛋白的作用以治療疾病。
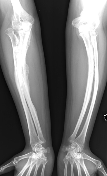
成骨不全症係因基因突變,導致形成骨骼的主成分「膠原纖維」異常,因而造成骨骼脆弱易折、耐受力差,每2至3萬人中就有1人罹患該罕見疾病。部分患者在幼年學步時大腿骨等長骨容易骨折,脊椎易發生壓迫性骨折造成側彎。根據英國「脆骨病協會」統計,玻璃娃娃長至18歲時,將可能發生2至3百次骨折。
研究人員發現,在人為基因突變引發成骨不全症狀的實驗鼠身上,乙型轉化生長因子異常增加,而負責抑制乙型轉化生長因子過度作用的某種蛋白質則有減少情形。
貝勒醫學院分子及人類遺傳學教授布蘭登李伊表示,乙型轉化生長因子暴增,將導致新生成的骨質不斷被身體吸收,無法長成堅硬的骨骼。研究人員抑制乙型轉化生長因子作用後,實驗鼠骨骼強度增加,且常伴隨成骨不全症發生的肺部發育異常症狀也獲得改善。
李伊強調,該研究成果最快年底就能拓展到人體試驗;英國雪菲爾大學教授、脆骨病協會諮詢委員尼克畢夏普則認為,骨髓移殖能有效治療成骨不全症實驗鼠,但人體試驗多年仍未成功,因此他對李伊的說法持保留態度。英國國家骨質疏鬆症協會醫師克萊兒鮑琳評估,相關基因及藥物研究,尚需10至15年才能進入人體試驗。