頭暈、倦怠、貧血 當心骨髓疾病

李昀澔 2014/10/20 21:27 點閱 4617 次
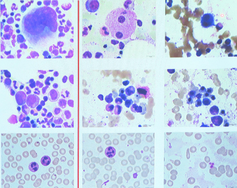
醫師表示,「骨髓化生不良症候群」(MDS)患者血球外觀及功能異常,極易演變為致死率偏高的急性白血病。(photo by中華民國血液病學會)
醫師表示,「骨髓化生不良症候群」(MDS)患者血球外觀及功能異常,極易演變為致死率偏高的急性白血病。(photo by中華民國血液病學會)

【台灣醒報記者李昀澔台北報導】切莫以為頭暈、貧血、容易累是中、老年正常現象,可要當心是否罹患極易演變為白血病的「骨髓化生不良症候群」(MDS)。血液病學會理事長林東燦20日出席「MDS世界關懷日」活動時指出,中年後若出現原因不明的貧血或常發燒等狀況,務須接受抽血檢驗,否則MDS若延誤治療,一旦惡化為急性白血病,致死率極高。

台大台成幹細胞中心醫師李啟誠表示,MDS算是急性白血病前期病變,雖屬較複雜的疾病,但目前已有多種治療方式。台大檢驗醫學部主治醫師周文堅則強調,診斷MDS需在顯微鏡下觀察以「骨髓抽吸」方式取得的檢體,部分患者常因誤以為要「抽龍骨水」,也就是抽取脊髓液而感到恐懼,其實骨髓抽吸對患者傷害極微。

每年10月25日為MDS世界關懷日,根據癌症資料庫統計,2011年時全台共有1千8百多人罹患各種類型的白血病,其中2百多人為MDS,另有47人是由MDS演變為急性白血病。

林東燦指出,MDS好發於60至70歲族群,患者常出現倦怠、虛弱、頭暈、胸悶及容易感染等狀況,卻往往找不到明確的病因。周文堅說,幾乎所有患者都會有貧血情形,半數患者則有白血球、血小板遽降現象,可能是細胞老化或基因突變造成血球失去正常功能所致。

「少數MDS患者是因曾接受化療或放療引發病變,但多數患者都沒有可能致病的特殊不良習慣或血液疾病家族史。」周文堅分析,目前臨床上以血球外觀、染色體異常與否來評估惡化為急性白血病的風險,風險最低級別者平均存活可達8.8年,最高者僅剩9個多月,且有4分之1患者可能在確診後8個月,就演變為急性白血病,因此需搶在疾病惡化前及早治療。

李啟誠表示,目前MDS已有輸血、排鐵劑、荷爾蒙、免疫抑制劑及類似標靶藥物作用的「去甲基藥物」可供治療或改善症狀,國內也有多家醫學中心,能以較溫和的化療搭配造血幹細胞移植,雖有2成復發比例,但患者存活超過7年的機率可達8成,因此只要及早治療,避免惡化為急性白血病,仍有治癒希望。

捐款成為醒報天使

由於熱心人與支持者的捐款,醒報的深度報導與客觀評論都是免費閱讀的,希望你也能加入「醒報天使」的行列,小額支持。我們會寄給您抵稅收據!