
【台灣醒報記者李昀澔綜合報導】吸菸會導致肺癌又有了新證據!英國倫敦癌症研究中心團隊日前發表於頂尖期刊《自然:基因學》的研究首度證實,過去被認為會造成乳癌及卵巢癌的基因「BRCA2」突變,也與肺癌有關;吸菸者的BRCA2基因若發生突變,罹患肺癌的風險為常人的1.8倍。
全球每年有逾百萬人死於肺癌,在英、美等國肺部及支氣管的惡性腫瘤都是死亡率最高的癌症,在台灣則長年盤據癌症罹患率及死亡率前3名;肺癌分為腫瘤細胞生長、轉移較快速的「小細胞癌」,以及占肺癌患者比例8至9成,腫瘤生長較緩慢的「非小細胞癌」。
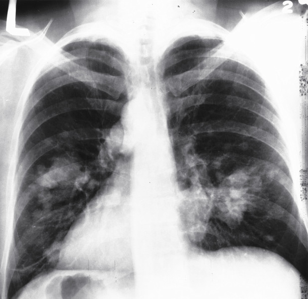
【肺部鱗狀細胞癌化】
非小細胞癌又分為最常見的肺腺癌、未分化大細胞癌,以及男性吸菸者最常罹患的鱗狀上皮細胞癌,約占非小細胞癌患者的3成。目前多認為肺癌係患者長期將香菸主要成份之一的焦油,經燃燒後產生的數十種致癌化學物質直接吸入肺部所致;多從較主要的大支氣管黏膜細胞開始癌化,可能引發支氣管狹窄、肺塌陷、阻塞性肺炎、肺氣腫及肺部組織纖維化,部分患者會出現咳血症狀。
倫敦癌症研究中心團隊比對1萬1千餘名歐洲肺癌患者,以及1萬5千多名健康者的基因序列後發現,約有16%的男性吸菸者及近1成的女性吸菸者罹患肺癌,其中約4分之一的BRCA2基因突變吸菸者罹患肺部鱗狀上皮細胞癌;該研究主持人、分子基因學教授里查豪斯登表示,吸菸者體內若帶有突變的BRCA2基因,罹患肺部鱗狀細胞癌的風險是常人的1.8倍。
【裘莉切除雙乳防癌】
BRCA2基因日前才因美國女星安潔莉娜裘莉為預防罹患乳癌,選擇「自切雙乳」而聲名大噪;BRCA2是一個抑癌基因,負責修復細胞內部受損的去氧核醣核酸(DNA),一旦BRCA2突變而無法正常修補DNA,細胞內累積過多受損的DNA時,細胞可能死亡或因此癌化。裘莉家族女性多有乳癌病史,她本身也被檢查出有BRCA1與BRCA2基因突變,才會選擇動手術防癌。
BRCA2基因突變過去已證實會導致乳癌及卵巢癌,豪斯登等人的研究則首度揭露肺部鱗狀細胞癌與BRCA2 有關;豪斯登認為,目前已有多種專為BRCA2基因突變乳癌或卵巢癌患者設計的標靶藥物,後續研究重點將擺在此類藥物是否也能治療肺癌患者。
「豪斯登等人的成果或能解釋,為何僅有部分吸菸者罹患肺癌,」倫敦癌症研究中心副主任保羅沃克曼指出,這也代表某些基因突變者若能戒菸,可有效預防肺癌發生。